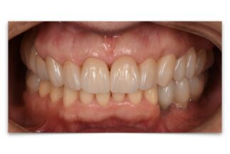
- Before
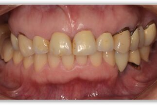
- After
【症例ステータス】
| 年齢 | 性別 | 治療期間 | 治療費概算 |
|---|---|---|---|
| 57歳 | 女性 | 2年 |
480万 ※費用は範囲によって異なります。 |
| 主訴 | |
|---|---|
| 治療内容 | 上顎右側サイナスリフト インプラント埋入上顎3本 下顎3本 上部構造モノリシックジルコニアクラウン修復 |
| リスクについて | インプラント周囲炎 スクリューの緩みなど |
【医院情報】
| 医院名 | 医療法人ORC川崎歯科医院 |
|---|---|
| 住所 | 神奈川県平塚市桃浜町1-30 |
| 院長 | 川崎雄一 |
| HP | https://www.kawasakishika.net |
| TEL | 0463-31-0378 |
