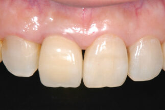
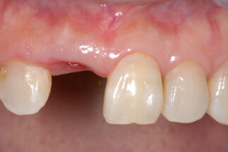
- Before
- After
【症例ステータス】
| 年齢 | 性別 | 治療期間 | 治療費概算 |
|---|---|---|---|
| 42歳 | 女性 | 11ヶ月 |
45万 ※費用は範囲によって異なります。 |
| 主訴 | |
|---|---|
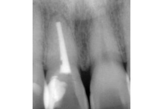
| 治療内容 | 右側上顎中切歯を抜歯しインプラント埋入をおこなった。上部構造装着後12年経過。 |
| リスクについて | 歯肉の退縮等、審美面でのリスク。 |
【医院情報】
| 医院名 | 医療法人社団健湧会 尾澤歯科医院 |
|---|---|
| 住所 | 東京都葛飾区金町2-4-10 |
| 院長 | 野村智義 |
| HP | https://www.ozawadental.com |
| TEL | 03-3607-2480 |
