- Before
- After
-
初診時の下顎咬合面観
-
コンピュータによる
外科用ガイド治療計画 -
インプラント埋入後の下顎咬合面観
-
-
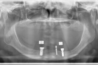
インプラント埋入後のレントゲン像
-
歯肉に自然観を与えた
上下の総義歯
【症例ステータス】
| 年齢 | 性別 | 治療期間 | 治療費概算 |
|---|---|---|---|
| 71歳 | 女性 | 9ヶ月 |
140万 ※費用は範囲によって異なります。 |
| 主訴 | 下顎の総義歯が不安定で食べにくい |
|---|---|
| 治療内容 | 下顎2本のインプラント治療によるオーバーデンチャー、正中付近に外科ガイド用に暫間インプラント |
| リスクについて | 解剖学的リスク:下顎管損傷など |
【医院情報】
| 医院名 | 医療法人熊澤歯科 上浦歯科クリニック |
|---|---|
| 住所 | 小樽市稲穂2-11-13 協和稲穂ビル5階 |
| 院長 | 上浦庸司 |
| HP | http://www.kamiura-dental.org |
| TEL | 0134-64-5111 |
