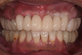
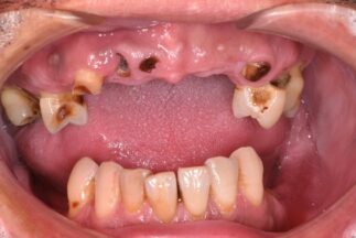
- Before
- After
-
-
-
-
-
-
https://youtu.be/4tSgDjrIFhs
-
https://youtu.be/4tSgDjrIFhs
【症例ステータス】
| 年齢 | 性別 | 治療期間 | 治療費概算 |
|---|---|---|---|
| 45歳 | 男性 | 2年(予定) |
600万 ※費用は範囲によって異なります。 |
| 主訴 | |
|---|---|
| 治療内容 | 上顎6本、下顎4本のインプラント治療による咬合再構成、下顎前歯の矯正治療 |
| リスクについて | 解剖学的リスク:上顎洞穿孔、下顎管損傷など |
【医院情報】
| 医院名 | 医療法人熊澤歯科 上浦歯科クリニック |
|---|---|
| 住所 | 小樽市稲穂2-11-13 協和稲穂ビル5階 |
| 院長 | 上浦庸司 |
| HP | https://youtu.be/4tSgDjrIFhs |
| TEL | 0134-64-5111 |
